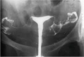
O que é o exame: A histerossalpingografia nada mais é do que um raio-x contrastado da cavidade uterina e de suas tubas. Ele é realizado em série, com a injeção de um líquido (contraste iodado) através do orifício do colo do útero, com o auxílio de um catéter (sonda) fino. É um dos exames mais antigos existentes na rotina da investigação do casal infértil, sendo utilizado há praticamente um século. Apesar de tão antigo, ainda é o melhor para avaliar a anatomia das tubas uterinas, não existindo outro exame que possa nos dar a mesma qualidade de informação sobre esta estrutura. A histerossalpingografia tem como principal objetivo avaliar a morfologia das tubas uterinas e, através desta análise, inferir sobre sua função reprodutiva. Pode também oferecer dados sobre a anatomia uterina, como a presença de mal-formações Müllerianas (útero bicorno, unicorno, septado etc), presença de pólipos ou miomas e sinéquias uterinas. O resultado do exame é um verdadeiro divisor de águas entre os tratamentos. Se estiver normal, os tratamentos podem ser de menor complexidade ("in vivo"), mas caso tenha alterações, devemos partir para os procedimentos mais complexos ("in vitro"). Medos e anseios: É muito comum no consultório receber pacientes que tem verdadeiro terror ao ouvir falar neste exame. Quantas e quantas vezes não ouvi a frase: "faço qualquer coisa, mas não me peça para repetir este exame!". De certa forma, não posso deixar de tirar a razão das minhas pacientes. A histerossalpingografia quando não é bem indicada e bem realizada, é extremamente dolorosa e desconfortável. Assim, é obrigação do médico que solicita o exame explicar à paciente como ele é feito e para que está sendo solicitado. Vale ressaltar que quando o exame é feito seguindo rigorosos critérios e por médicos experientes e com bons equipamentos, não há queixa de dor. Cuidados ao realizar o exame:
![]() Catéter flexível com balão, utilizado para a realiazação do exame Postagem retirado na integra e sem alterações do site: |
quinta-feira, 21 de junho de 2012
Histerossalpingografia.
Assinar:
Postar comentários (Atom)

Nenhum comentário:
Postar um comentário